Skip to content Skip to sidebar Skip to footer

Fournier's Gangrene Images - Fournier S Gangrene Pacs Entwicklung : The first symptom you'll likely notice is sudden pain.

Fournier's Gangrene Images - Fournier S Gangrene Pacs Entwicklung : The first symptom you'll likely notice is sudden pain.. Fournier's gangrene often begins when bacteria enter the genitalia, perineum, or colorectal area through a wound and cause an infection that deprives the infected tissue of oxygen, thus leading to necrosis. Engraving of a human leg infected with gangrene following a gunshot laceration of the femoral artery, from the book the medical and surgical history. Originally, the term fournier's gangrene was. Browse 315 gangrene stock photos and images available or search for gas gangrene or fournier gangrene to find more great stock photos and pictures. Fournier gangrene accessed 28 march 2018, emedicine:

Browse 13 fournier gangrene stock photos and images available, or start a new search to explore more stock photos and images. Fournier's gangrene is a necrotizing infection that involves the soft tissues of the male genitalia.1,2 fournier's gangrene is a specific form of necrotizing fasciitis, a general term introduced in 1951, by wilson, to describe infection of the soft tissue, which involves the deep and superficial fascia, regardless of the location. Authors brian l murphy 1 , john a pezzullo. Browse 315 gangrene stock photos and images available or search for gas gangrene or fournier gangrene to find more great stock photos and pictures. Fournier's gangrene is a serious condition that rapidly kills soft tissues, including muscles, nerves and blood vessels.

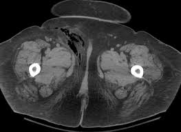
Fournier S Gangrene In The Scrotum Download Scientific Diagram
Fournier S Gangrene In The Scrotum Download Scientific Diagram from www.researchgate.net
(wet, dry, gas, toe, fournier, legs, diabetic, early stages) In fournier's gangrene, affected tissue dies and decomposes. Authors brian l murphy 1 , john a pezzullo. Fournier gangrene is a form of the necrotizing bacterial infection that affects soft tissue in the genitals. Fournier gangrene usually requires immediate surgery to remove the infected tissue. Originally, the term fournier's gangrene was. Affiliation 1 department of diagnostic imaging, rhode island hospital, usa. Browse 315 gangrene stock photos and images available or search for gas gangrene or fournier gangrene to find more great stock photos and pictures.

It is a true urological emergency due to the high mortality rate but fortunately, the condition is rare.

Engraving of a human leg infected with gangrene following a gunshot laceration of the femoral artery, from the book the medical and surgical history. Fournier gangrene is a form of the necrotizing bacterial infection that affects soft tissue in the genitals. Browse 13 fournier gangrene stock photos and images available, or start a new search to explore more stock photos and images. Seriously, one of the worst things you could do to yourself is look up pictures of fournier's gangrene. Fournier's gangrene is a serious condition that rapidly kills soft tissues, including muscles, nerves and blood vessels. Fournier's gangrene med health r i. Fournier's is an aggressive infection of the groin area. Fournier gangrene is an emergency condition that is associated with a high mortality rate. Fournier's gangrene often begins when bacteria enter the genitalia, perineum, or colorectal area through a wound and cause an infection that deprives the infected tissue of oxygen, thus leading to necrosis. The infection then progresses rapidly, and your skin develops a reddish. It is a true urological emergency due to the high mortality rate but fortunately, the condition is rare. Browse 315 gangrene stock photos and images available or search for gas gangrene or fournier gangrene to find more great stock photos and pictures. The skin, as well as the superficial and deep fibrous membranes that separate the muscles and guard nerves and vessels.

Originally, the term fournier's gangrene was. Fournier gangrene usually requires immediate surgery to remove the infected tissue. Early stages of gangrene pictures. First documented in 1883 by professor jean alfred fournier ( whonamedit: Download the recent issue of essm today with all images and graphics.

Reconstruction Of Scrotal And Perineal Defects In Fournier S Gangrene Journal Of Plastic Reconstructive Aesthetic Surgery
Reconstruction Of Scrotal And Perineal Defects In Fournier S Gangrene Journal Of Plastic Reconstructive Aesthetic Surgery from els-jbs-prod-cdn.jbs.elsevierhealth.com
If you really feel strong, try searching on google im. Fournier's gangrene is an urological. Usually requires surgical removal of tissue. Browse 13 fournier gangrene stock photos and images available, or start a new search to explore more stock photos and images. Browse 322 gangrene stock photos and images available, or search for gas gangrene or fournier gangrene to find more great stock photos and pictures. Originally, the term fournier's gangrene was. Fournier's gangrene med health r i. Fournier gangrene accessed 28 march 2018, emedicine:

Download the recent issue of essm today with all images and graphics.

April 12, 2005 / boulder colo / eric cornell and his wife celeste landry walk toward the coors event center to meet with the media to talk about. If you really feel strong, try searching on google im. Fournier gangrene usually requires immediate surgery to remove the infected tissue. This rare type of gangrene — also called progressive bacterial synergistic gangrene — is usually a complication of. Fournier gangrene represents a urologic emergency with a potentially high mortality rate. First documented in 1883 by professor jean alfred fournier ( whonamedit: The infection then progresses rapidly, and your skin develops a reddish. Men are more often affected, but women also can develop this type of gangrene. In fournier's gangrene, affected tissue dies and decomposes. (wet, dry, gas, toe, fournier, legs, diabetic, early stages) Images in clinical medicine from the new england journal of medicine — fournier's gangrene Originally, the term fournier's gangrene was. It is more likely to occur in diabetics, alcoholics, or those who are immunocompromised.

Download the recent issue of essm today with all images and graphics. Fournier's gangrene is a serious condition that rapidly kills soft tissues, including muscles, nerves and blood vessels. Fournier's is an aggressive infection of the groin area. Authors brian l murphy 1 , john a pezzullo. Fournier gangrene is a form of the necrotizing bacterial infection that affects soft tissue in the genitals.

Emdocs Net Emergency Medicine Educationfournier S Gangrene Ed Presentations Evaluation And Management Emdocs Net Emergency Medicine Education
Emdocs Net Emergency Medicine Educationfournier S Gangrene Ed Presentations Evaluation And Management Emdocs Net Emergency Medicine Education from www.emdocs.net
Harvey is also suffering from type 2 diabetes and recently tested positive for. Within 72 hours of the development of the. Fournier's gangrene med health r i. Usually requires surgical removal of tissue. Fournier's gangrene often begins when bacteria enter the genitalia, perineum, or colorectal area through a wound and cause an infection that deprives the infected tissue of oxygen, thus leading to necrosis. Early symptoms will begin within 24 hours of being infected and often start. It is a true urological emergency due to the high mortality rate but fortunately, the condition is rare. Fournier gangrene is an emergency condition that is associated with a high mortality rate.

The infection then progresses rapidly, and your skin develops a reddish.

April 12, 2005 / boulder colo / eric cornell and his wife celeste landry walk toward the coors event center to meet with the media to talk about. Engraving of a human leg infected with gangrene following a gunshot laceration of the femoral artery, from the book the medical and surgical history. The skin, as well as the superficial and deep fibrous membranes that separate the muscles and guard nerves and vessels. Fournier gangrene usually requires immediate surgery to remove the infected tissue. Fournier's gangrene is a serious condition that rapidly kills soft tissues, including muscles, nerves and blood vessels. Fournier's gangrene med health r i. Diabetic gangrene foot rot diabetes gangrene arterial ulcer foot drop arterial occlusive disease drop foot foot gangrene footdrop sugar foot. The first symptom you'll likely notice is sudden pain. Fournier's gangrene is a necrotizing infection that involves the soft tissues of the male genitalia.1,2 fournier's gangrene is a specific form of necrotizing fasciitis, a general term introduced in 1951, by wilson, to describe infection of the soft tissue, which involves the deep and superficial fascia, regardless of the location. Harvey is also suffering from type 2 diabetes and recently tested positive for. Download the recent issue of essm today with all images and graphics. Fournier gangrene is a form of the necrotizing bacterial infection that affects soft tissue in the genitals. If you really feel strong, try searching on google im.